Features
八幡歯科医院が
選ばれる理由
歯の治療をしたい
むし歯や歯周病は進行していても、治療だけでは早期に
子供から大人まで、当院で治療と予防に取り組みましょう。
見た目を整えたい
誰もが憧れる白く輝く歯や、美しく整った歯並びを手に入れるための治療です。笑顔が映える楽しい日々が送れるよう、機能性にもこだわった審美治療を行います。
歯を取り戻したい
歯のない状態を放置してしまうと、嚙み合わせ全体のバランスが崩れてしまいます。当院ではインプラント治療から入れ歯まで、患者さまのご希望に合わせた治療が可能です。
歯並びを整えたい
様々なお悩みに対応できる矯正治療を行っています。目立たないマウスピース矯正やお子様の矯正をお考えの方は、お気軽にご相談ください。

CASE
症例紹介
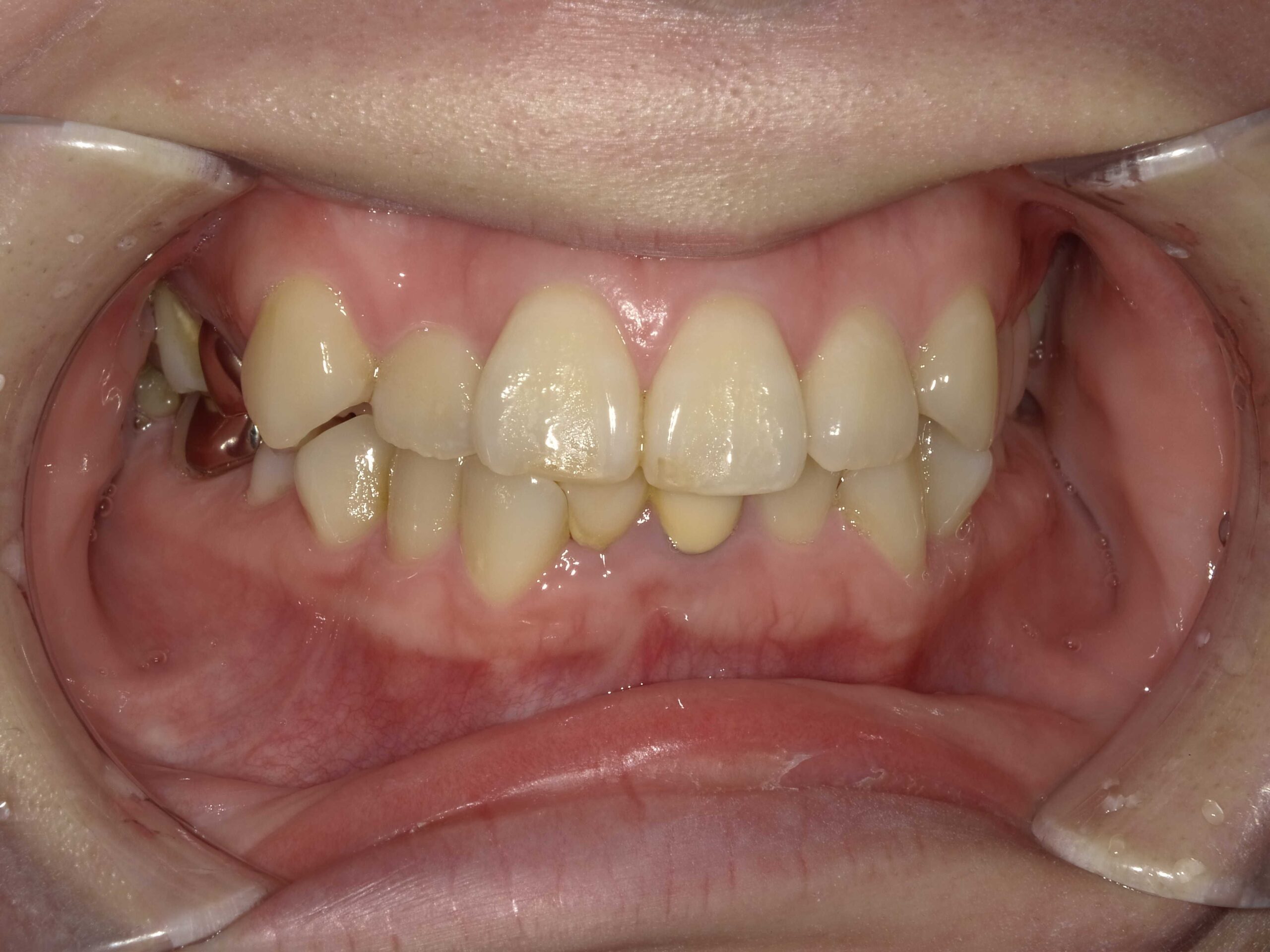
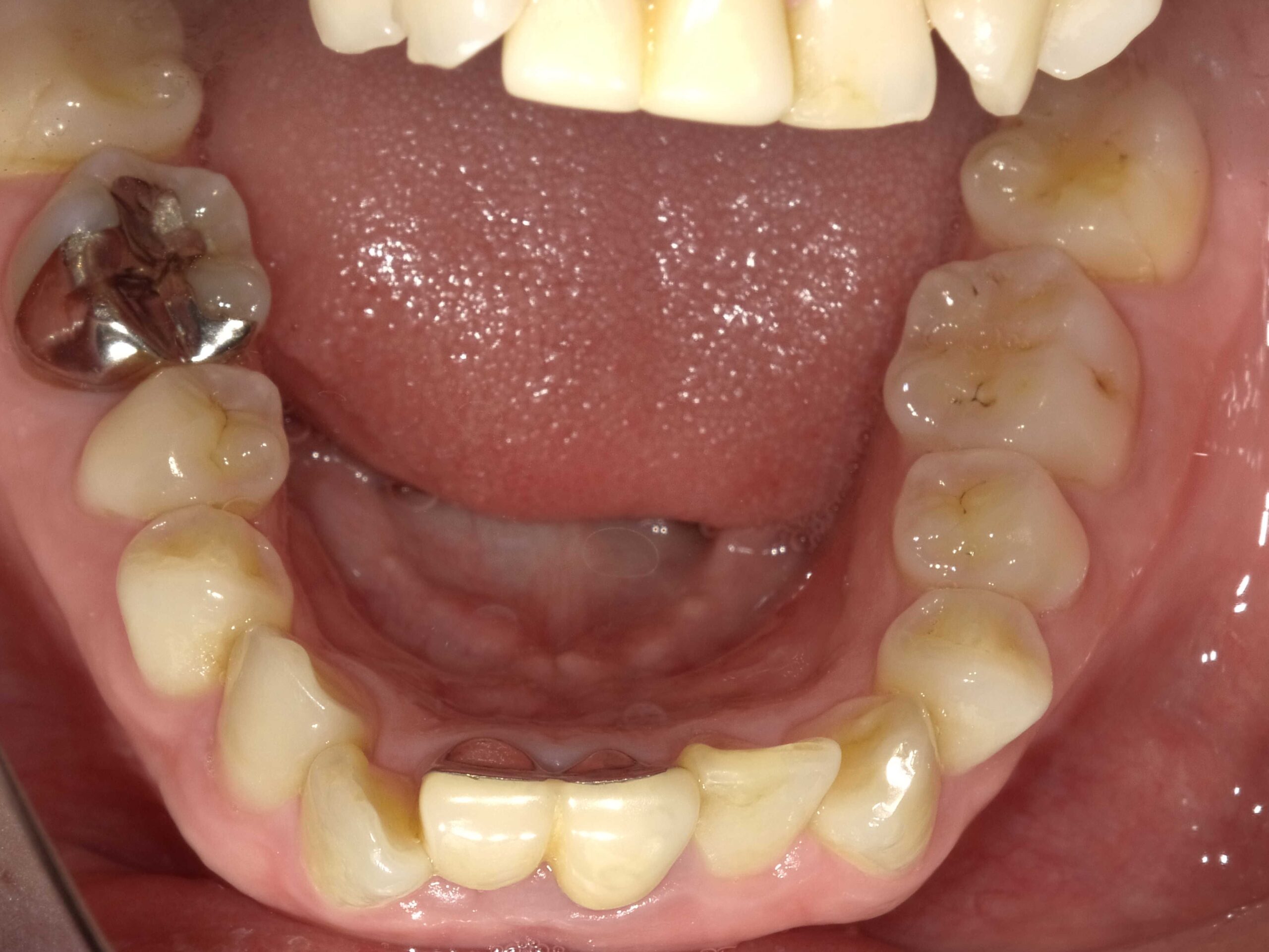
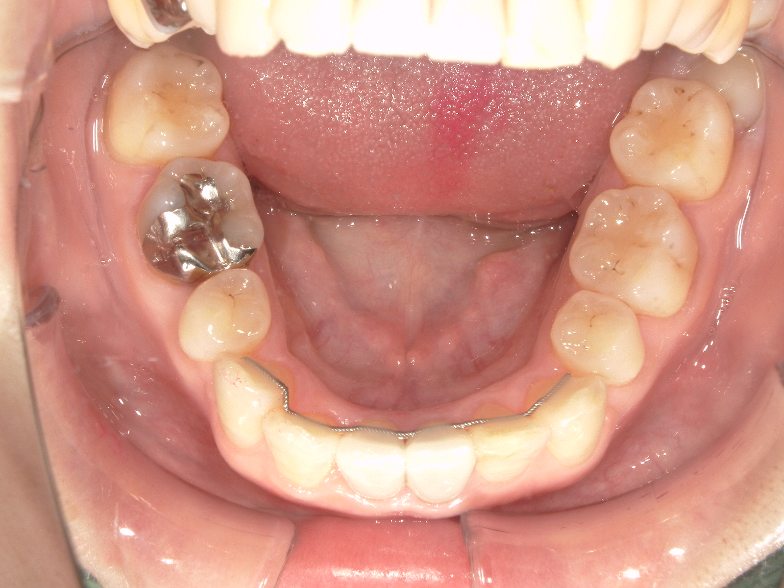
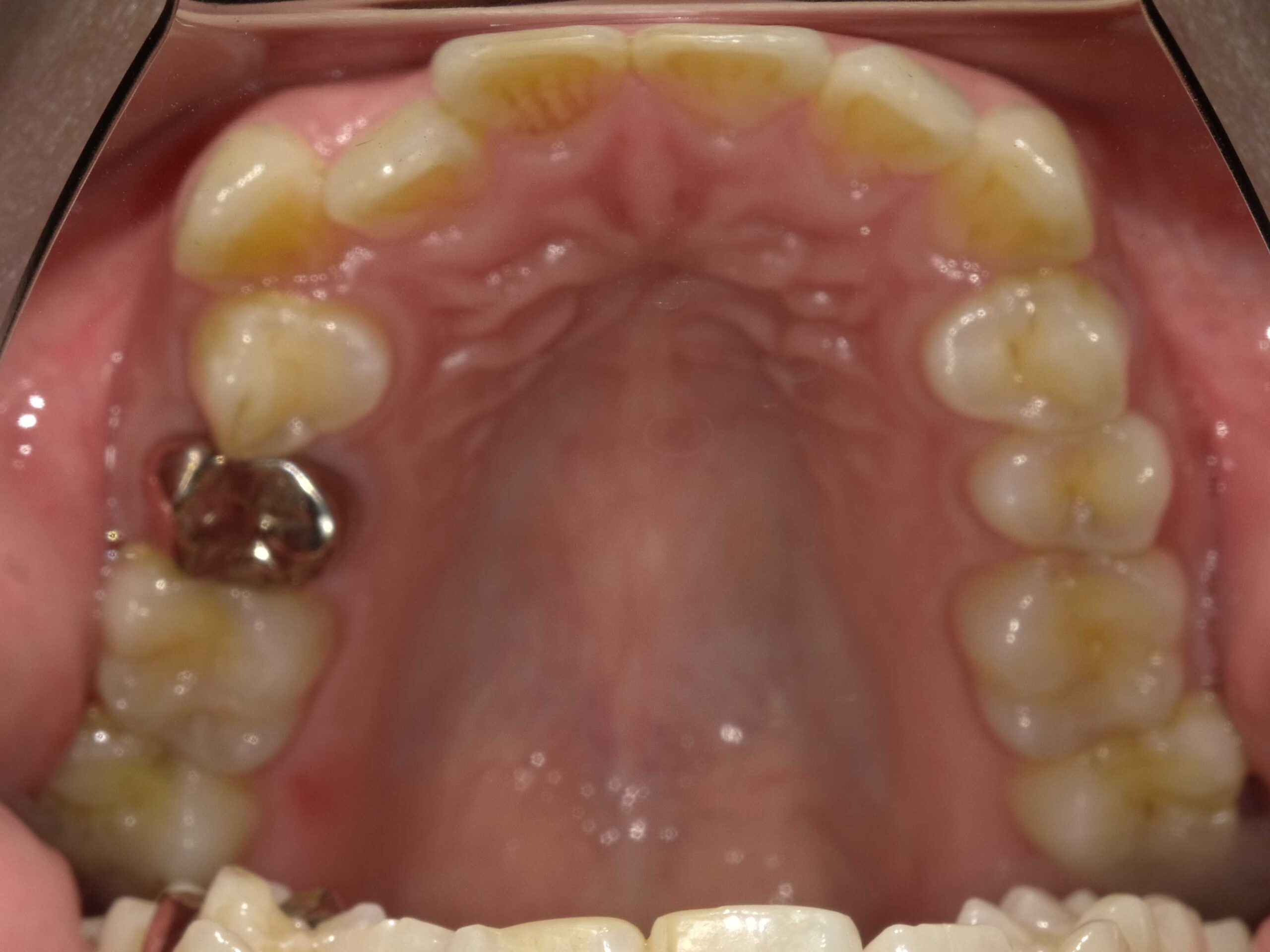
八重歯と噛み合わせが気になる──インビザライン・コンプリヘンシブで改善した28歳女性の矯正治療

Before

After

Before

After

Before

After
| 主訴 | 八重歯、噛み合わせ気になる |
|---|---|
| 診断名 | 叢生(そうせい) |
| 年齢・性別 | 28歳・女性 |
| 治療期間・回数 | 2年・20回 |
| 治療方法 | インビザライン コンプリヘンシブ |
| 費用 | 検査16,500円、治療1,035,000円(税込) |
| デメリット・注意点 | ● 1日当りの所定の製品装着時間が守られない場合、製品が担当医師の指示通りに使用されない場合、アポイントメントが守られない場合、もしくは特殊な形状の歯が存在する場合については、望まれる治療結果の実現性に影響を与える場合があります。 ● 重度の叢生(抜歯が必要な症例や歯列弓幅径の大幅な改善を要する場合)は、アライナー単独では対応困難なことがある。 ● 次のステージのアライナーに交換した後に、歯の圧痛を経験する場合があります。 ● 歯肉、頬及び唇に、製品による擦り傷または痛みが生じる場合があります。 ● 歯磨きが十分できていない場合には、虫歯や歯肉炎が進行することがあります。 ● 長期の矯正治療により歯根吸収が生じる恐れがあります。 ● 歯ぐきや歯槽骨が多少やせることがあります。そのため、術前の状態より歯肉が退縮し、隙間ができることがあります。 ● 製品は一時的に発音に影響を与える場合があり、結果として舌のもつれを生ずる場合がありますが、製品に関連した発話障害は、通常1週間から2週間以内で軽減します。 ● 歯の移動を可能とするための空隙を創り出すため、歯の削合が必要となる場合があります。 ● 長期間にわたって重なっていた歯は、歯間接触下部の歯肉組織が失われている場合があり、歯列矯正を行うことで、「ブラックトライアングル」が発生する可能性があります。 ● 治療後、知覚過敏や痛みなどが出たり、吸収された骨が再生しなくなることがあります。 ● 稀に、歯の寿命を縮める場合があり、歯内治療もしくは追加的な補綴修復処置等の追加的な歯科治療が必要となる可能性、および、歯が失われる可能性があります。 また、過去に歯の損傷があった場合、または大規模な補綴修復処置がなされていた場合、さらに悪化する可能性があります。 ● 稀に、顎関節に問題が生じる場合があり、それによって関節痛、頭痛または耳の障害が生じる場合があります。 |
| 備考 |
Medical














