ちょっと「歯の話」をしよう。
もっと、歯の話をしよう。
スタッフブログ|インビザライン矯正が終了。実際にやってみた正直な感想
こんにちは。徳島県阿南市羽ノ浦町の八幡歯科医院スタッフMです。
長かったインビザ矯正が、ついに終了しました。

今回は、これから矯正を考えている方に向けて、実際に終えてみた感想を正直に書こうと思います。
インビザ矯正を始めたきっかけ
もともと歯並びが大きく悪いわけではありませんでしたが、
・前歯のガタつき
・噛み合わせの違和感
・年齢とともに歯並びが気になってきた
こういった理由から、目立ちにくい矯正方法としてインビザ矯正を選びました。

矯正中に大変だったこと
正直に言うと、楽なことばかりではありませんでした。
・最初の痛み
新しいマウスピースに交換した直後は、数日間ジンジンとした痛みがあります。
ただ、ワイヤー矯正ほどではなく、慣れると「あ、また来たな」くらいの感覚でした。
・着脱と管理の手間
食事のたびに外し、歯磨きをしてから再装着。
外食時や間食の多い日は、少し面倒に感じることもありました。
・自己管理が必要
1日20時間以上の装着が必要なので、
「今日はサボりたい…」という日でも自分で管理しないと結果に影響します。
やって良かったと感じる点
それでも、終わってみて一番思うのは
「やって良かった」という気持ちです。
・歯並びが整い、口元に自信が持てるようになった
・写真を撮る時に口元を気にしなくなった
・噛み合わせが安定して、違和感が減った
何より、矯正中も見た目をほとんど気にせず過ごせたことは、インビザならではの大きなメリットだと思います。

矯正終了後の今の気持ち
終了してみて感じるのは、
「もっと早くやっておけば良かった」ということ。
確かに時間も費用もかかりますが、歯並びは一生もの。
毎日鏡を見るたびに感じる満足感は、それ以上の価値がありました。
現在はリテーナー(保定装置)を使って後戻り防止をしています。
ここも大切な期間なので、気を抜かず続けていく予定です。
これからインビザ矯正を考えている方へ
インビザ矯正は
✔ 見た目を気にせず矯正したい
✔ 自己管理ができる
✔ 多少の手間を許容できる
こんな方には、とても向いていると思います。
完璧に楽な矯正ではありませんが、結果を考えると十分価値のある選択でした。

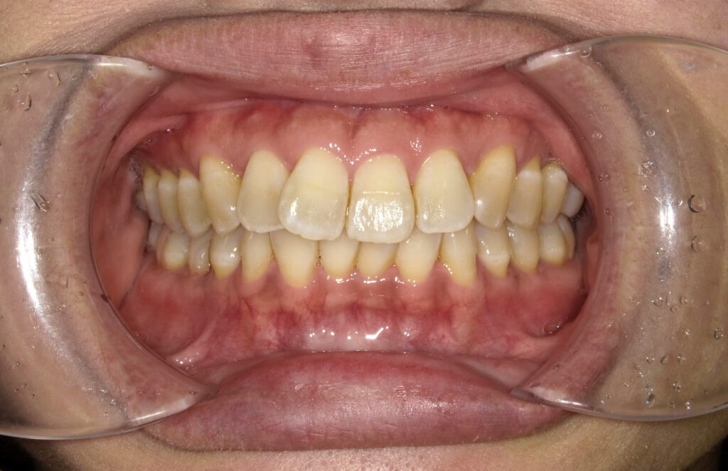
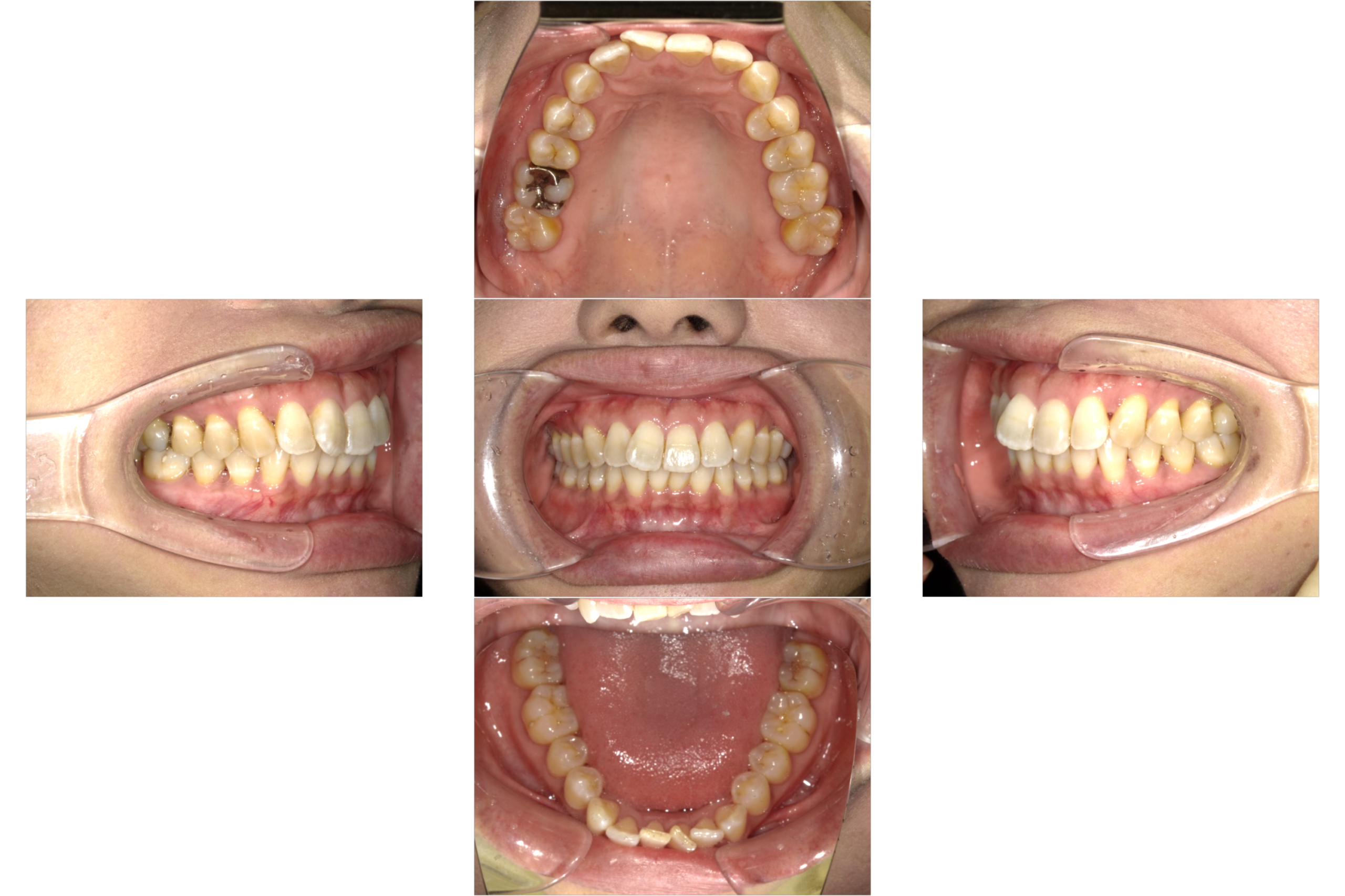
Before

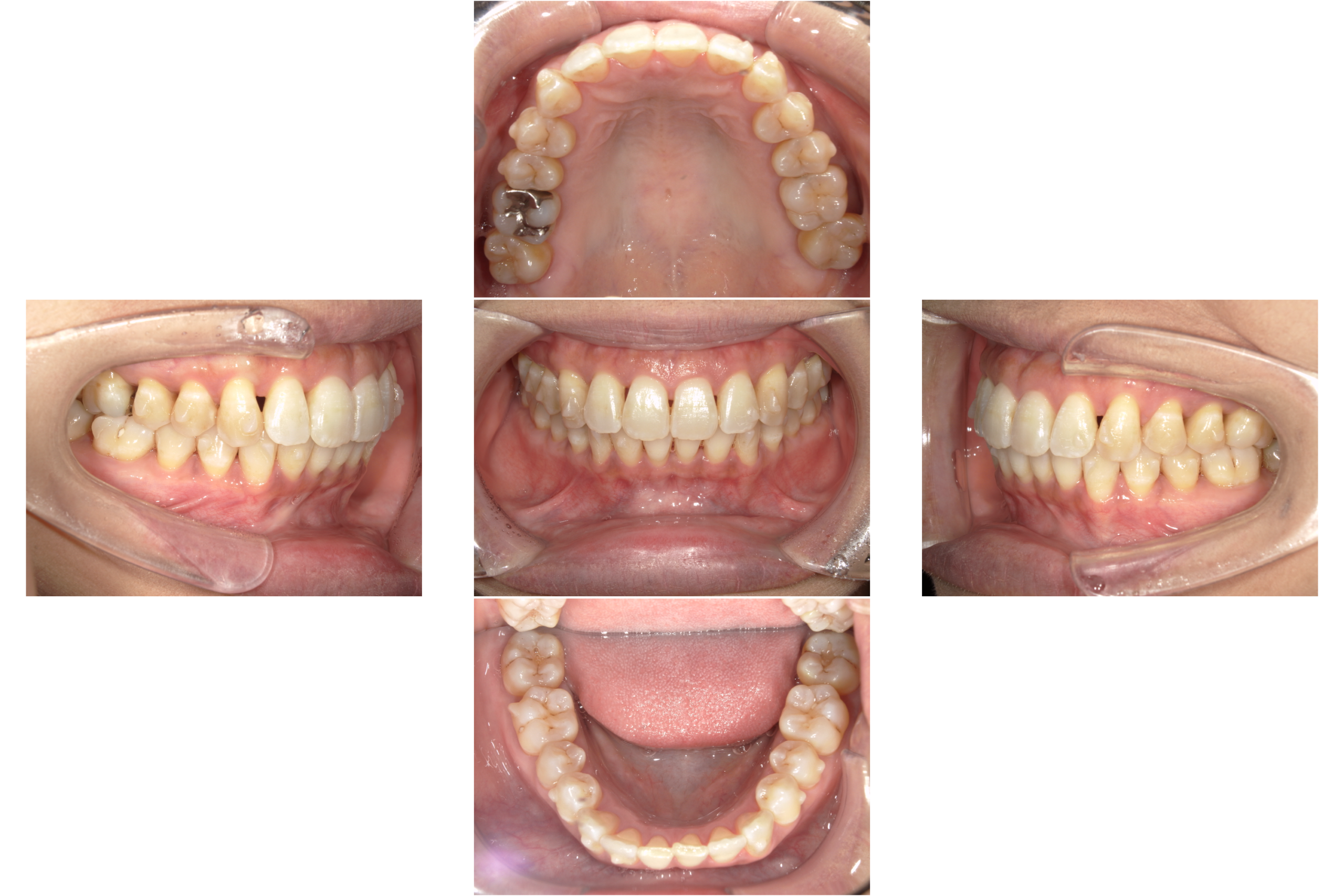
After
矯正前後の口腔内写真比較




