ちょっと「歯の話」をしよう。
もっと、歯の話をしよう。
スタッフブログ|インビザライン矯正、5ヶ月目のリアルな感想
こんにちは。徳島県阿南市羽ノ浦町の八幡歯科医院スタッフMです。
インビザラインを始めてから、気づけばもう5ヶ月。
最初は慣れるか不安もありましたが、今では毎日マウスピースを付け替えて生活するのがすっかり習慣になっています。
職場での電話対応も、始める前は
マウスピースを付けたまま上手く喋れるかな…
と不安でしたが、最初に違和感がある程度ですぐに慣れることができました。
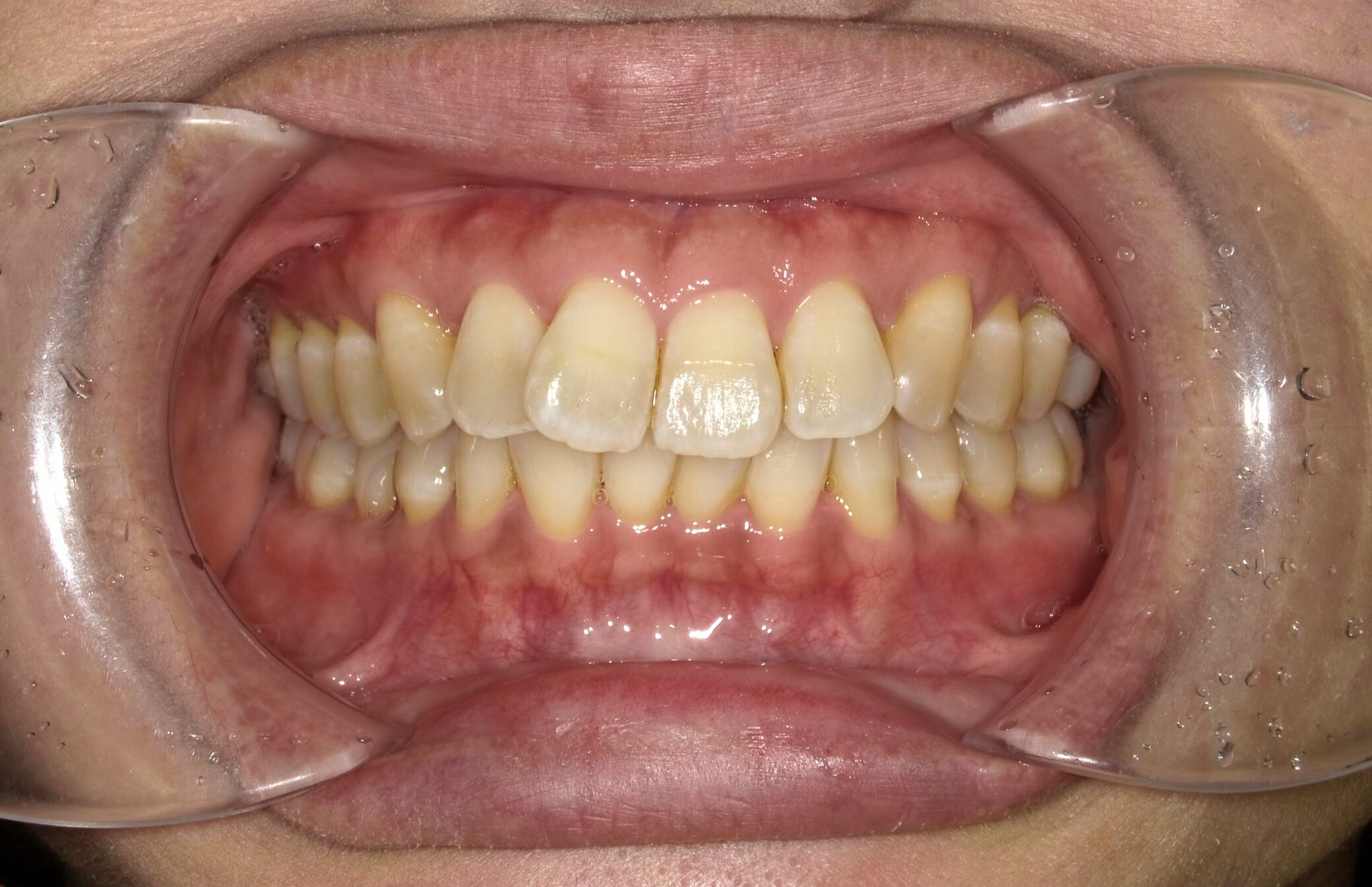
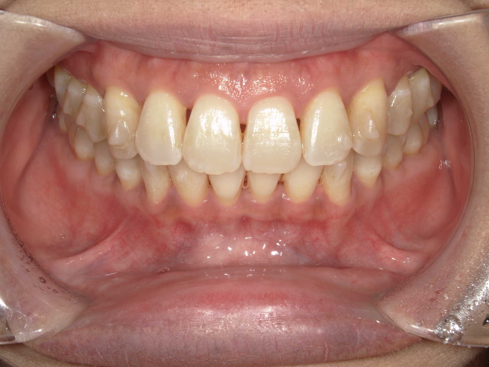
少しずつ整ってきた歯並び
最近、鏡を見ると前歯の並びが前より揃ってきているのが分かります。
「本当に動いているのかな?」と半信半疑だった頃と比べると、写真を見比べてみても確かに少しずつきれいになってきていて、嬉しい気持ちになります。

食事のちょっとした不便さ
ただ、ここにきて感じるのが食事のときの不便さ。
特に硬いものを食べるとき、以前より噛みにくさが出てきました。
噛み合わせが変わってきているからだと思いますが、今まで気にならなかった部分に違和感を覚えると「ああ、矯正中なんだな」と改めて実感します。
マウスピースによる口内炎
困ったことといえば、マウスピースの縁が当たって口内炎ができることもあります。
場所によっては話したり食べたりするときに痛みがあるので少し大変…。
でも、市販の口内炎パッチや薬を使えばなんとか乗り切れています。

前向きに続けていきたい
全体的に、インビザラインは目立たず取り外しもできるので、生活への支障は少なく、続けやすいと感じています。
もちろん不便さやちょっとしたトラブルもありますが、それ以上に歯並びが整っていく実感が大きいです。
半年弱でここまで変化があるなら、これから先の矯正生活も頑張ろう
という気持ちになれます。
今後も、経過をお知らせしていきますね📢
徳島県でインビザライン矯正を検討している方の参考になれば嬉しいです。

Before

After
5ヶ月経過の口腔内写真比較
八幡歯科医院
監修:医療法人八幡歯科医院 理事長 八幡裕子
特徴:むし歯治療・歯周病治療・口腔外科・矯正(マウスピース矯正、ワイヤー矯正)・小児矯正・インプラント・審美歯科・予防歯科・ホワイトニング・義歯(入れ歯)・周術期口腔ケア・訪問診療まで対応した総合歯科
住所:徳島県阿南市羽ノ浦町宮倉日開元19-18
※阿南市、小松島市、徳島市、勝浦町、那賀町、美波町、海陽町などから多くの患者様が診察・診療に通われております。


