ちょっと「歯の話」をしよう。
もっと、歯の話をしよう。
スタッフ体験談:大人になってからマウスピース矯正を始めたら、デンタルモニタリングが神だった。
40歳から始めるマウスピース矯正
子どもの頃からずっと気になっていた歯並び。
でも、矯正には費用もかかるし、家族にもなかなか言い出しづらくて──
ワイヤー矯正は目立つし──
と悩んでいるうちに、気づけば何年も経ってしまっていました。
同じように、
「昔から気になっていたけれど、費用のこと、
矯正の種類や通院の負担が気になって、タイミングがつかめなかった」
という方、きっと少なくないと思います。
わたしの転機

歯科医院に勤め始めて半年・・・
「昔は“かわいい”と言われていた八重歯も、年齢とともに歯ぐきが下がってくると、歯並びの悪さのほうが目立つようになってきた」
「もっと早く治しておけばよかった」
同じような悩みを持つ患者様に出会い、矯正治療に取り組まれている様子を間近で見たことで、
40代からのスタートでも、しっかりメリットを感じ長年のコンプレックスに向き合う事ができました。
矯正の種類や方法はたくさんあります。
その中でわたしが選んだのは、デンタルモニタリング×マウスピース矯正です。
“忙しい大人”にちょうどいいデンタルモニタリング
私がマウスピース矯正を始める後押しになったのが、
デンタルモニタリングというアプリの存在です。
歯科医院の受付をしていると、
予約をとっていたのに、仕事で行けなくなった・・・
スケジュールと調整がつかない・・・。
そんな、お悩みをよくお伺いします。
そんな、忙しい人や通院が難しい方にこそ知ってもらいたいのが
デンタルモニタリングです。

アプリの指示に従ってスマホでお口の中を撮影するだけで、送信まで10分ほどで完了。
あとは自動でドクターに届き、経過をチェックしてもらえるので、
これまでは1.5ヶ月に1回の来院が必要でしたが、3〜4か月に1回で済んでいます。
「診察時間を確保することが第一ハードルだ」と感じていたのですが、
このアプリのおかげで、気軽に続けられています。
実は、通院よりも“よく診てもらえる”
私が驚いたのは、「来院しない=診てもらえない」ではないこと。
むしろ、デンタルモニタリングでは10日に1回という頻度で経過をチェックしてもらえます。
これにより、「ちゃんと進んでるかな?」「遅れてないかな?」という不安が減って、
矯正のスケジュールが予定どおりに進んでいる安心感があります。
なにより、日曜日や夜など自分の好きなタイミングで実施することができるので、
忙しいときも”通えない””見てもらえない”と悩むことがありません。
本当に・・・デンタルモニタリングが”神アイテム”でした。
歯科医師によるチェック回数(年間)
① デンタルモニタリング 使用 → 36回/年(10日に1回)
② デンタルモニタリング不使用→ 10回/年(約1.5ヶ月ごとに来院)
2年という期間の矯正は、自身のモチベーションをキープするのが結構ハードルが高いと思います。
しかし、デンタルモニタリングのおかげで、日々の努力が結果になってあらわれていることを実感することができます。
そして、10日に1回医師のチェックがうけられるのは、なによりお得だとかんじています。
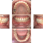
2か月が経過時点での歯列の比較


わたしのマウスピース矯正ははじまったばかりです。
次回は、マウスピースしながらの電話対応や家族の反応などをお話したいとおもいます。




